
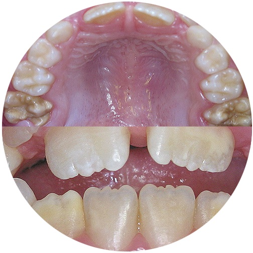
CHALKY TEETH
Molar-incisor hypomineralization occurs primarily in the first permanent molars (6-year molars). The teeth can be very sensitive to hot/cold and break quickly after eruption, so that rapid treatment is necessary. However, treatment is often difficult or even impossible due to the extreme sensitivity of the teeth. We have many years of experience in treating these teeth, and the range extends from special methods to make the teeth less sensitive, to temporary treatment, to complete reconstructions with plastics or temporary crowns.
